Why Is Bone Preservation for Dental Implants Important?
If you’re missing one, several, or all of your natural teeth, you may qualify for dental implants. Unlike other tooth restoration options, dental implants replace both your natural tooth root and your missing tooth. The result is a strong, natural-looking tooth replacement that can last for life with proper care.
To qualify for dental implants, you must have enough bone in your jaw. When you lose a tooth, the bone that helped hold that tooth in place will naturally deteriorate. In fact, most bone loss happens during the first six months after tooth loss [1]. The longer you wait to replace the tooth, the more the bone will deteriorate.
Fortunately, bone preservation protects against bone loss and significantly strengthens your follow-on dental implant restoration. Our extensive expertise with bone grafting contributes to our very high success rate with implant surgery and restoration at Elite Prosthetic Dentistry (>97% after 20 years).


What Is Bone Preservation?
When you lose a tooth or need a tooth removed due to injury, decay, or even impaction, such as with wisdom teeth, the space where the tooth used to be in your jaw remains. This space, or the tooth socket, may heal improperly if bone preservation is not done. The socket can essentially collapse, which can compromise the quality of bone in that area.
Bone preservation is when Dr. Marlin reintroduces a small amount of bone into the empty socket after a tooth extraction before sealing the wound. This process helps preserve the socket and the bone quality for future restorations [2]. With bone preservation, it’s much easier to place a dental implant once the area heals.
You can maintain the bone that surrounded your tooth root and help prevent teeth from shifting into the empty space after tooth extraction with bone preservation followed by an implant restoration. Most importantly, this process greatly strengthens restoring your smile with dental implants.
Bone Density Matters When Placing a Dental Implant
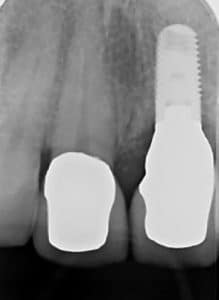
Dental implants with our practice have an impressive success rate of over 97%, lasting a minimum of 20 years for patients at Elite Prosthetic Dentistry, even though the national average for dental implant restoration success over the same time period is only 83.4% [3]. However, in order for dental implants to be properly placed and last for decades with proper care, you need to have enough bone in your jaw [4].
Since dental implants allow you to bite, chew, and essentially have all the functions of a natural tooth, they must be secure in your jaw. To correctly place a dental implant for successful healing and fusion with your natural jawbone, enough bone with good density must initially exist in the area.
People who have been missing their natural teeth for months or years have reduced bone in the area where tooth loss occurred, requiring a bone graft to rebuild the implant site for solid support.
Bone grafting has a very high success rate, and this extra step is often well worth it for patients to build up healthy bone so they can get a dental implant [5]. Without adequate bone, your restoration options are limited.
Since dental implants mimic the nature of your tooth roots to stimulate the bone in your jaw, they help maintain healthy bone over your lifetime, which can prevent the sagging or sunken facial appearance that can result from missing teeth.
How to Preserve Your Bone for a Successful Implant Placement
The best way to preserve your bone for a dental implant is to ensure that the professional who extracts your tooth does a bone preservation procedure, also called alveolar ridge preservation. By filling the tooth socket with bone and allowing it to heal, you can ensure you have a healthy space for a dental implant.
Even if you don’t have enough bone in your jaw to initially support a dental implant, you may qualify for a bone graft to restore the bone in your jaw so you can have an implant successfully placed to restore your smile. The most important thing you can do is not wait to restore your tooth - the sooner you pursue restoration options, the more success you will have.
Contact Elite Prosthetic Dentistry today to discover more about your smile restoration options for bone grafting, dental implants, and bone preservation with Dr. Marlin. Call us at (202) 244- 2101 or complete our contact form online.
Sources:
Related Patient Success Stories
Explore similar patient success stories demonstrating our expertise in advanced prosthetic dentistry.
Temporary Crowns Restore Patient's Smile in Just One Day with an Immediate Smile Makeover
A patient from Potomac, Maryland, came to Elite Prosthetic Dentistry with the chief complaint of pain from a failing dental implant and its significant impact on her appearance.
Treating Kevin’s Collapsed Bite with a Complete Smile Makeover with New Dentures
Dentures are sometimes not created to the ideal aesthetic and functional scheme. When improperly fabricated, dentures can make an individual appear almost a generation older than their actual age. They can have a poor fit that feels loose and unstable when eating or speaking, and they can actually accelerate bone loss over time.
Salvaging Ms. N’s Severely Broken-Down Upper and Lower Teeth from Gum and Bone Disease
Many people in the U.S. suffer from extensive periodontal disease characterized by significant bone loss and shrinkage of the gum tissue. This condition can begin at a very young age and worsen quickly due to hereditary factors and lack of early diagnosis by their dentist.
Related Articles
Deepen your knowledge with additional insights on this topic.
Bone Grafting & Surgical Rejuvenating a Ruined Implant Site Having Severely Damaged Bone
Even after a failed implant and significant bone loss, it is often possible to rebuild the ridge and restore a healthy foundation for a new implant.
Bone Grafting & Surgical What is 'Ridge Augmentation' - Bone Grafting
Ridge augmentation rebuilds jawbone lost after tooth extraction or injury, creating a stable foundation for dental implants in Washington, DC.
Bone Grafting & Surgical What is a Partial (Internal) Sinus Lift?
Learn what a partial internal sinus lift is and how it gently raises the sinus membrane to create room for a dental implant. Washington, DC prosthodontist.